Common Problems with Composite Fillings and How to Avoid Them
Composite fillings are a popular choice for a natural-looking smile, but they can come with challenges like sensitivity or staining. We break down the 7 most common problems and share expert tips on how to avoid them to keep your restorations lasting for years.
Oral Health
15
MIN READ

At Rō Dental Studio, we know that no one loves hearing they need a filling. But if you do, you’re not alone. About 96% of Canadian adults have had at least one cavity in their lifetime.
Here, composite fillings are the most popular choice today, which is also known as tooth-coloured or white fillings. They blend in beautifully with your natural teeth, are mercury-free, and are strong enough to handle everyday chewing. But like any dental treatment, they can come with their own set of challenges.
In this blog, we’ll walk you through the common problems people experience with composite fillings and, more importantly, how to avoid them so your dental work lasts for years.
First, What Exactly Are Composite Fillings?
Composite fillings are made of a resin-based material that is applied in layers to fill a cavity. Unlike silver (amalgam) fillings, composites are tooth-coloured, so they look natural and blend in with the rest of your smile.
They’re especially popular for front teeth or visible areas, but dentists also use them for back teeth when appearance matters.
Common Problems with Composite Fillings
While composite fillings are safe and effective, patients sometimes run into issues. Let’s break down the most common ones.
1. Tooth Sensitivity
One of the most frequent complaints after getting a composite filling is sensitivity to hot, cold, or sweet foods. This usually happens because:
The tooth’s nerve is irritated during the procedure.
The filling is placed very close to the nerve.
There’s a slight gap between the filling and the tooth.
Most sensitivity fades within a few days to weeks. But if it lingers longer than a month, it may be a sign the filling isn’t fitting properly.
How to avoid it:
Choose an experienced dentist who uses high-quality materials and techniques.
Follow aftercare instructions carefully—avoid extreme hot or cold foods right after treatment.
If sensitivity persists, schedule a follow-up so adjustments can be made.
2. Chipping or Cracking
Composite fillings are durable, but they’re not as strong as natural enamel or metal fillings. They can chip or crack if you:
Bite down on hard foods (like ice, nuts, or hard candies).
Grind your teeth at night (a condition called bruxism).
Use your teeth as tools (like opening bottles or tearing packages).
How to avoid it:
Stick to chewing softer foods in the days following your filling.
Wear a nightguard if you grind your teeth.
Treat your teeth gently—no opening packages or chewing on pens!
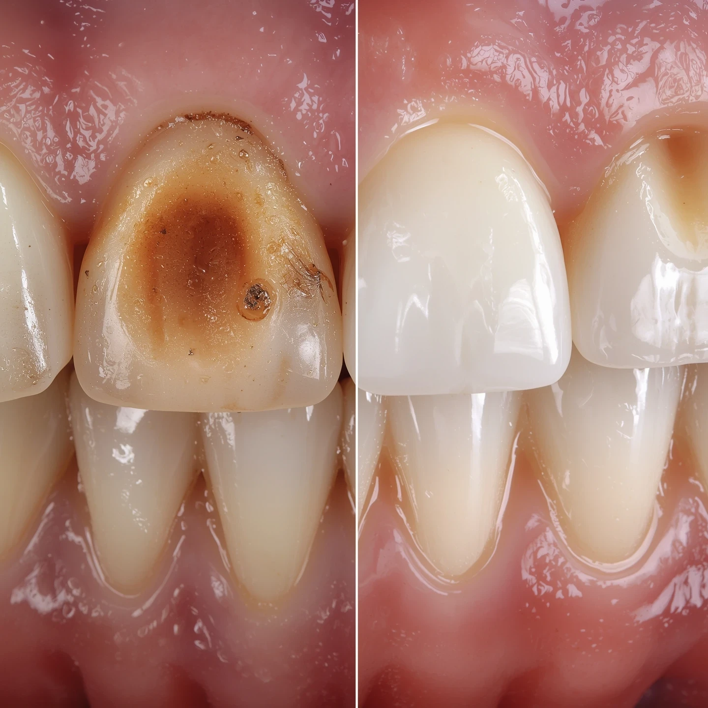
3. Staining and Discolouration
Composite fillings can stain over time, especially if you enjoy coffee, tea, red wine, or smoking. Unlike natural teeth, fillings don’t whiten with bleaching treatments, which can make them stand out.
How to avoid it:
Brush twice daily and floss once a day to keep surface stains away.
Rinse with water after consuming staining foods or drinks.
Schedule regular cleanings at Rō Dental Studio so we can polish and refresh your fillings.
4. Shrinkage or Gaps
Composite resin can shrink slightly as it hardens. If this happens, it can leave a tiny gap between the tooth and filling. Over time, bacteria can sneak in and cause new decay under the filling.
How to avoid it:
Choose a dentist who applies the resin in thin, careful layers. This reduces shrinkage.
Keep up with regular dental check-ups so any gaps or wear are caught early.
5. Wear and Tear
Composite fillings usually last 5 to 10 years, but they can wear down faster if they’re placed in areas with heavy chewing pressure, like molars. As they wear, the filling may flatten, making your bite feel uneven.
How to avoid it:
If you clench or grind your teeth, ask about a custom nightguard.
Avoid chewing very hard foods with your filled teeth.
Have your dentist check the bite at each cleaning, and sometimes small adjustments keep everything comfortable.
6. Bonding Failures
Composite fillings rely on bonding technology to stick to the tooth. If the bond isn’t perfect, the filling may loosen or fall out. This could be caused by:
Saliva contamination during the procedure.
Chewing on the filling before it fully sets.
Natural wear over time.
How to avoid it:
Trust an experienced dentist who uses proper isolation techniques (like dental dams) to keep the area dry during the procedure.
Follow instructions after your appointment about eating and chewing.
Never ignore early signs like pain when biting or feeling a “rough edge.”
7. Allergic Reactions (Rare)
While very uncommon, some people may have an allergic reaction to the materials used in composite fillings. Symptoms could include irritation in the gums or mouth.
How to avoid it:
Tell your dentist about any allergies or sensitivities before treatment.
If you notice unusual irritation after a filling, book a follow-up appointment right away.
How to Make Composite Fillings Last Longer?
The good news? Most of the problems above are avoidable with the right care and habits. Here’s what we recommend at Rō Dental Studio:
1. Stick to Strong Oral Hygiene
Brush twice daily with a fluoride toothpaste.
Floss once a day to prevent decay around the filling.
Use an alcohol-free mouthwash to reduce bacteria.
2. Schedule Regular Dental Visits: Professional cleanings and check-ups every 6 months let us catch small issues before they become big ones.
3. Eat Smart: Limit very hard or sticky foods that can stress fillings. Swap out sugary snacks for healthier options like cheese, nuts, and crunchy veggies.
4. Protect Against Grinding: If you grind or clench your teeth, talk to us about a custom nightguard to protect both your natural teeth and fillings.
5. Avoid Smoking: Smoking not only stains fillings but also increases your risk of gum disease and oral cancer. Your fillings (and your whole mouth) will thank you if you quit.
Are Composite Fillings Right for You?
For most people, composite fillings are a fantastic choice. They’re:
Natural-looking
Mercury-free
Versatile enough for both front and back teeth
That said, if you have very large cavities or heavy bite forces, your dentist may recommend an alternative, such as in-lays, on-lays, or crowns, which are stronger and last longer.
Final Thoughts
Composite fillings are one of the most common and effective ways to treat cavities, but like all dental treatments, they’re not completely problem-free. The key is prevention and care.
By understanding the potential issues, you’ll know what to watch out for. And by choosing an experienced dentist and following good daily habits, you’ll dramatically increase the lifespan of your fillings.
At Rō Dental Studio, we take pride in creating fillings that are functional, natural-looking, and built to last. If you’re experiencing problems with an old filling or if you think you may need a new one, our team is here to help.





